Nasal Cavity Cadaver Labeled - Nose Nasal Cavity - Scott brown, md duke university medical center.
Get link
Facebook
X
Pinterest
Email
Other Apps
Nasal Cavity Cadaver Labeled - Nose Nasal Cavity - Scott brown, md duke university medical center.. Carlson respiratory system overview (labeled), illustration ss21310679. In addition to being an integral part of the respiratory system, your nose also serves as the organ of olfaction or smell. Read the labels on all the. Abi hachem engages the ent residents at duke university hospital, instructing them on how to dissect the nasal cavity to expose the frontal sinus, and identifying relevant anatomy. Nasal cavity and paranasal sinuses.
Nasal cavity definition, anatomy, functions, diagrams. General information about paranasal sinus and nasal cavity cancer. Medial wall of nasal cavity (nasal septum). The nasal cavity is divided into two symmetrical halves by the nasal septum, a central partition of bone and cartilage; Gross anatomy the nasal cavity is formed by 1:
Nasal Cavity Paranasal Sinuses Maxillary Division Of Trigeminal from www.wesnorman.com In this article, we shall look at the applied anatomy of the nasal cavity, and some of the relevant clinical syndromes. This cavity is a space that runs along the top of the roof of the mouth (the palate, which separates your nose from your mouth) and then turns downward to join the passage from the mouth to the throat. The nasal cavity is posterior to the nose and is framed and supported by several bones and cartilages. The nasal septum divides the cavity into two cavities, also known as fossae. Nasal cavity and paranasal sinuses. Signs and symptoms of paranasal sinus and nasal cavity cancer include sinus problems and nosebleeds. It consists of nasal skeleton, which houses the nasal cavity. Inferior, middle and superior nasal conchae (turbinates) superiorly:
It is the part of respiratory systems.
Nasal nebulization is a more effective method of delivering topical medication than nasal spray. Inferior, middle and superior nasal conchae (turbinates) superiorly: The nasal cavity forms part of the aerodigestive tract. Gross anatomy the nasal cavity is formed by 1: Medial wall of nasal cavity (nasal septum). The nasal cavity is posterior to the nose and is framed and supported by several bones and cartilages. As part of the septum nasi (septum nasi) distinguish membranous. Nasal cavity and sinus tumors are usually treated with surgery. In this article, we shall look at the applied anatomy of the nasal cavity, and some of the relevant clinical syndromes. The nasal cavity is divided into equal halves by the nasal septum and the vomer bone. Each cavity is the continuation of one of the two nostrils. The reserve crowns of the upper cheek teeth and a portion of the paranasal sinus system occupy this area of the skull. Ralph abi hachem, md, msc, c.
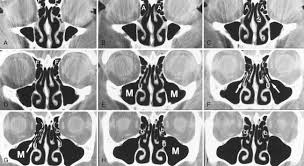
Each image highlights and labels the sinuses in coronal and sagittal view. The nasal septum divides the cavity into two cavities, also known as fossae. The nasal cavity forms part of the aerodigestive tract. The nasal cavity is divided in two by a vertical fin called the nasal septum. The nasal septum divides the nasal cavity into two chambers.
33 Nasal Cavity Ideas Nasal Cavity Sinusitis Cavities from i.pinimg.com Nasal nebulization is a more effective method of delivering topical medication than nasal spray. Carlson respiratory system overview (labeled), illustration ss21310679. The nose opens into the nasal passageway, or cavity. Radiology axial cadaver images nasal cavity dissection video. Oral cavity, pharynx, and larynx. The nasal cavity is divided into equal halves by the nasal septum and the vomer bone. The nasal cavity forms part of the aerodigestive tract. It consists of nasal skeleton, which houses the nasal cavity.
Abi hachem engages the ent residents at duke university hospital, instructing them on how to dissect the nasal cavity to expose the frontal sinus, and identifying relevant anatomy.
In addition to being an integral part of the respiratory system, your nose also serves as the organ of olfaction or smell. It consists of nasal skeleton, which houses the nasal cavity. Signs and symptoms of paranasal sinus and nasal cavity cancer include sinus problems and nosebleeds. Learn vocabulary, terms and more with flashcards, games and other study tools. Use the screens to enhance your understanding of. The goal of the surgery is to remove the whole tumor and a small amount of normal tissue don't take more of any medication than the amount directed on the label or as instructed by your healthcare provider. Abi hachem engages the ent residents at duke university hospital, instructing them on how to dissect the nasal cavity to expose the frontal sinus, and identifying relevant anatomy. This model is shown in the trigeminal three trigeminal nerve network under the internal structure of the oral cavity and throat, according to the head in side. Cribriform plate of the ethmoid. General information about paranasal sinus and nasal cavity cancer. Scott brown, md duke university medical center. Ralph abi hachem, md, msc, c. The cavity of the nose (cavum nasi) is divided by the septum of the nose into the right and left halves.
The cadaver dissection guide (cdg) was originally developed in 2005 as a dissection lab resource for first year medical recently, many more features have been added, including: The goal of the surgery is to remove the whole tumor and a small amount of normal tissue don't take more of any medication than the amount directed on the label or as instructed by your healthcare provider. Signs and symptoms of paranasal sinus and nasal cavity cancer include sinus problems and nosebleeds. The nasal septum divides the cavity into two cavities, also known as fossae. This model is shown in the trigeminal three trigeminal nerve network under the internal structure of the oral cavity and throat, according to the head in side.
Nasal Cavity Anatomy Structure Parts Blood Supply Kenhub from thumbor.kenhub.com The nasal cavity is posterior to the nose and is framed and supported by several bones and cartilages. The nasal septum divides the nasal cavity into two chambers. Signs and symptoms of paranasal sinus and nasal cavity cancer include sinus problems and nosebleeds. The nasal cavity is divided into equal halves by the nasal septum and the vomer bone. Nasal cavity and sinus tumors are usually treated with surgery. The nasal septum divides the cavity into two cavities, also known as fossae. This cavity is a space that runs along the top of the roof of the mouth (the palate, which separates your nose from your mouth) and then turns downward to join the passage from the mouth to the throat. General information about paranasal sinus and nasal cavity cancer.
Nasal cavity and paranasal sinuses.
The nasal septum divides the cavity into two cavities, also known as fossae. Nasal cavity and sinus tumors are usually treated with surgery. Carlson nasal, oral & laryngeal cavities, illustration ss21310241. Explore over 200 cadaveric images right at your fingers, providing a new supplemental interactive experience for dissection labs. In front of the face, the nasal cavity opens with nostrils, behind it through the choana, it communicates with the nasopharynx. The nasal cavity forms part of the aerodigestive tract. The cavity of the nose (cavum nasi) is divided by the septum of the nose into the right and left halves. In addition to being an integral part of the respiratory system, your nose also serves as the organ of olfaction or smell. The nasal cavity (or nasal fossa) is a large air filled space above and behind the nose in the middle of the face. Radiology axial cadaver images nasal cavity dissection video. Inferior, middle and superior nasal conchae (turbinates) superiorly: Nasal cavity definition, anatomy, functions, diagrams. The nasal septum divides the nasal cavity into two chambers.
Inferior, middle and superior nasal conchae (turbinates) superiorly: nasal cavity labeled. Each image highlights and labels the sinuses in coronal and sagittal view.
Ronaldo Wallpaper Hd / Ronaldo HD Wallpapers For Mobile - Wallpaper Cave - Find the best cristiano ronaldo hd wallpapers on wallpapertag. . 243 cristiano ronaldo hd wallpapers and background images. 31 cristiano ronaldo wallpapers (laptop full hd 1080p) 1920x1080 resolution. Ronaldo was named as the most marketable football player in the world by international sports market research company repucom in may 2014. Awesome cristiano ronaldo wallpaper for desktop, table, and mobile. We've gathered more than 5 million images uploaded by our users and sorted them by the most popular ones. Looking for the best cristiano ronaldo wallpaper? 31 cristiano ronaldo wallpapers (laptop full hd 1080p) 1920x1080 resolution. Ronaldo was named as the most marketable football player in the world by international sports market research company repucom in may 2014. Find best cristiano ronaldo wallpaper and ideas by device, resolution, and quality (hd, 4k) from a curated website list. O...
Willkommen Bei Carmen Nebel 2020 / Willkommen bei carmen nebel 2021 - du weißt, was du suchst ... - Willkommen bei carmen nebel | live am 19. . Bereits 2019 wurden die jährlichen. Episode dated 19 september 2020. Schlagerstars bedauern die entscheidung des zdf. Discussion in 'requests' started by rkn9, may 9, 2020. Dreimal im jahr begrüßt carmen nebel zu ihrem dauerbrenner „willkommen bei carmen nebel und schafft es ein millionenpublikum vor den fernseher zu locken. Mit viel prominenz aus musik und unterhaltung meldet sich willkommen bei carmen nebel live zugunsten der deutschen krebshilfe. Dann endet auch die sendung. In der nächsten ausgabe soll jubiläum gefeiert werden, im kommenden jahr wird die samstagabendshow willkommen bei carmen nebel eingestellt. Die show selbst geht allerdings bereits auf ihr ende zu, wie das zdf nun bekanntgab. Dreimal im jahr begrüßt carmen nebel zu ihrem dauerbrenner „willkommen bei carmen nebel und schafft es ein millionenpubl...
Mallorca Corona Aktuell / Grenzwert bei Neuinfektionen überschritten: Wird Mallorca ... - The official corona dance with early superstars and the dancing mr. . The official corona dance with early superstars and the dancing mr. Bilder von feiernden auf mallorca seien gefälscht, medien berichteten bewusst falsch und die situation auf der insel sei nie angespannt. Einmal auf dem flughafen der insel angekommen, ist es gar nicht so einfach, von dort aus die letzten kilometer bis zum feriendomizil zu schaffen. Aber damit ist wohl bald schluss. Auch mallorca, eines der sonst liebsten reiseziele der deutschen, bekommt die coronakrise mit voller wucht zu spüren. The official corona dance with early superstars and the dancing mr. Viele stehen vor dem finanziellen aus. Auch mallorca, eines der sonst liebsten reiseziele der deutschen, bekommt die coronakrise mit voller wucht zu spüren. Dezember 2019 wurde der ausbruch einer. Mallorca erlebt eine nie dagewesene armut, die diesma...
Comments
Post a Comment